
What Should I Consider in my Surgical Planning for Implants? – Tips from our Master Implant Program
In our previous blog, we discussed some factors that our dental specialists at ARIA encourage our students to

In our previous blog, we discussed some factors that our dental specialists at ARIA encourage our students to

Thorough treatment planning is quintessential for implant success. At ARIA, we teach our students to consider factors throughout

There are several implant courses running throughout Australia at the moment. Let’s discuss why we think the

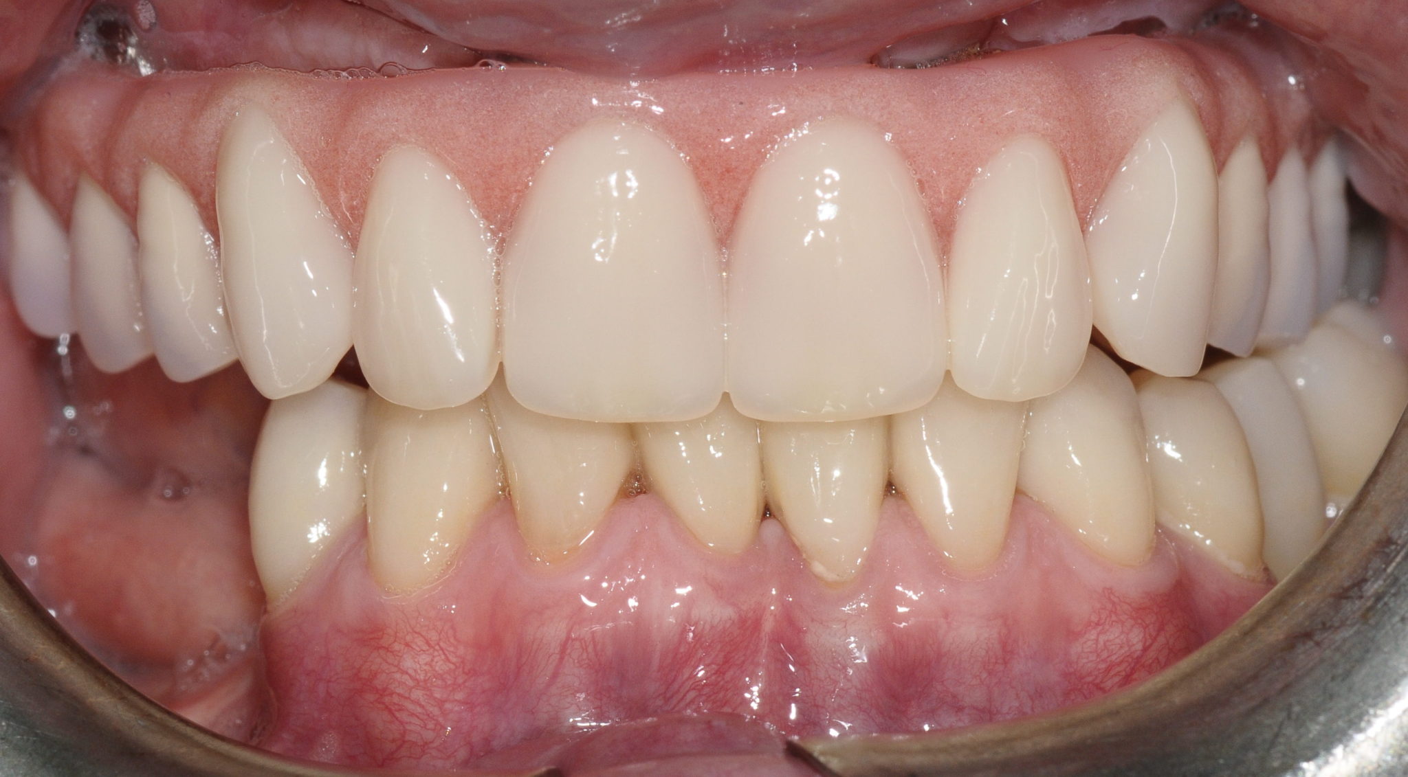
What does the research say about quality of life of a full lower denture and a two-implant

Timing of Implant Placement is often discussed. Here we have answered many questions you may ask.

What does the research say about quality of life of a full lower denture and a two-implant retained lower denture? Full denture versus two implant

Timing of Implant Placement is often discussed. Here we have answered many questions you may ask.

Restoratively driven implant placement is a key criteria to implant success. Well angulated dental implants allows for appropriate emergency profile, soft tissue sculpturing and ideal

Accuracy of surgical guides is a contentious topic with varying results in the literature. Read our full article on the topic…