Dental Implant Treatment in a Bruxist Patient
Bruxism can be difficult for dentists to comprehensively manage. This parafunctional habit involves grinding and clenching during sleep and/or during hours of wakefulness. When it comes treatment planning, patients with bruxism can be difficult to manage. Here at ARIA, we’ll go through a few things to keep in mind if you’re considering a dental implant in these patients.
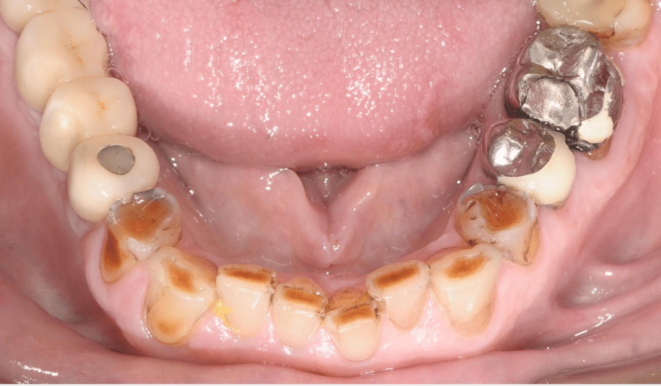
Identifying the Bruxist Patient
Diagnosis of bruxism can come about through features found extra- and intra-orally. Extra-orally, the patient may have hypertrophic masticatory muscles. Intra-orally, attrition and wear facets on teeth due to the lateral and excursive movements may be evident. This may further be associated with symptoms such as tooth sensitivity, jaw tenderness or muscle fatigue. Tooth fractures can be a severe consequence.
Patients who are bruxors need careful consideration regarding their treatment plan, including those who need tooth replacement. The reason for their tooth replacement is important to identify. A tooth fracture due to the occlusal forced placed on it may be at a high-risk site. The subsequent prosthetic tooth may be compromised in the same way. This underlying issue should therefore be treated before prosthodontic replacement. Case presentations at our Master Implant Course go through specific treatments offered to patients to help prepare their mouth for dental implants.
Attrition and wear facets evident in a bruxist patient
How Bruxism Affects Dental Implants
If a dental implant is decided as the replacement option, some factors should be considered. Excessive occlusal overload may lead to implant and marginal bone loss. Unlike a natural tooth, a dental implant is held into the patient’s bone by osseointegration. This is without the support of periodontal ligament fibres. These fibres may have had some proprioceptive effect on the natural tooth it surrounded. In this way it may have had some preventative role in reducing the load the tooth was subject to. Without these fibres present around dental implants, bruxors may place an increased load, potentially even an occlusal overload, to the implant. Our implant courses at ARIA help discuss identifying features of placing a dental implant at a high-risk site, and the appropriate management options.
Dental implant treatment in a bruxist patient
Managements of Bruxism for Dental Implants
There are a few methods to help reduce implant failure due to occlusal overload. This may be through methods that reduce this force, or anticipate the load subject to the dental implant. Posterior sites in the jaw will have to withstand more impact than anterior sites. Nevertheless, anterior teeth commonly have to withstand non-axial forces due to excursive and protrusive movements. A suitable amount of bone, and of acceptable quality, is ideal to surround the implant in these areas. A wider or longer implant may also be ideal to help spread the masticatory load over a larger area. The implant’s ideal width, length and features for different locations within the jaw are discussed by our prosthodontist specialists.
Patients with bruxism may be difficult to treat in a comprehensive way. Integrating different elements of care can, however, help manage them as best as possible. This is especially important to ensure the longevity of dental implants in such patients.